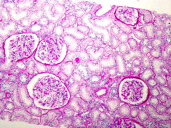
fig.1 ˆÚA1ƒ–ŒŽŒãPASõF