  | 
											
												 
											 | 
											  | 
										
										
											DSA陰性抗体関連型拒絶後に発症した皮質壊死の1例 
A case report of renal cortical necrosis caused by antibody-mediated rejection without DSA | 
										
										
											
												 
											 | 
										
										
											| 
												
											 | 
											
												
													
| 聖マリアンナ医科大学病院 腎臓高血圧内科 | 
 
 | 
| * | 
仲田 真由美、鈴木 智、渡邉 詩香、久道 三佳子、矢萩 浩一、 長谷川 正宇、谷澤 雅彦、市川 大介、柴垣 有吾 | 
 
 
 | 
 
| 聖マリアンナ医科大学病院 腎泌尿器外科 | 
 
 | 
 | 
 
| 川崎市立多摩病院 病理診断科 | 
 
 | 
 | 
 
											 
											 | 
										
										
											
												 
											 | 
										
										
											 | 
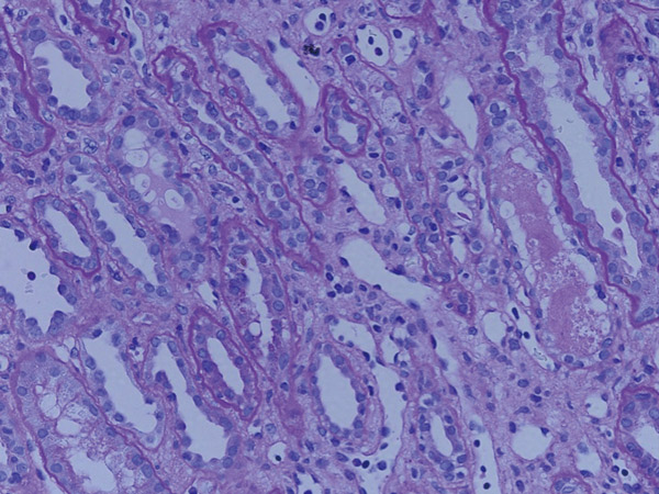
											 28歳男性。X-6年に健診で尿蛋白を指摘された。X-4年に前医で腎機能の低下を指摘され、腎生検で尿細管間質性腎炎の診断であった。薬剤性、自己免疫性疾患は否定的であり、特発性尿細管間質性腎炎としてステロイド治療を施行し、腎機能の改善を認めた。X-1年当院移植外来を受診。その後腎機能の悪化を認め、Cre 8mg/dL台で、59歳母親をドナーとするABO不一致(O+→A+)の先行的腎移植を施行した。移植後1時間生検は異常を認めず、術後2日目にCre1.27mg/dlまで改善したが、術後5日目でCre3.04mg/dlと急性腎不全を来した。腹部CTで移植腎周囲に液体貯留を認め、尿管膀胱吻合部からの尿漏と考え、再吻合術を行い、術中に腎生検を試行した。超音波で腎腫大およびRIの上昇を認めたため、急性拒絶を考え、先行的にステロイドパルス療法、DSGを投与し、Cre1.4-1.6mg/dLまで改善した。光顕は、糸球体内皮細胞の腫大と増加、また間質に単核球主体の炎症細胞浸潤、傍尿細管毛細血管に炎症細胞を認めた。IFは尿細管基底膜にC3の強陽性を認めた。移植後32日目腎生検は、間質の炎症細胞は著明な改善を認めた。しかし、約半数の糸球体で毛細血管内の炎症細胞停滞や内皮細胞の腫大増加による内腔の狭窄を認めた。その後、腎機能が再び悪化したことから、第76日目に腎生検を施行したところ、尿細管の壊死に加え、広範囲の皮質壊死を認めた。また、軽度の傍尿細管毛細血管炎を認めた。弓状ないし小葉間動脈に著明な線維性内膜肥厚を認めた。Cre 2.79mg/dLと悪化を認め、急性抗体関連拒絶の関与を考え、血漿交換およびステロイドパルス療法、リツキシマブ投与を行った。近年腎移植後の皮質壊死は珍しく、報告する。 | 
										
										
										
                                         
												 
                                                
                                                 | 
                                        
										
											
												 
											 | 
										
										
											 | 
											 | 
											戻 る  ページの先頭 | 
										
										
											  | 
											  | 
											  |