  | 
											
												 
											 | 
											  | 
										
										
											移植腎に腎サルコイドーシスを生じた1例 
A Case of Renal Sarcoidosis in the Transplanted Kidney | 
										
										
											
												 
											 | 
										
										
											| 
												
											 | 
											
												
													
| 自治医科大学附属病院 腎臓外科 | 
 
 | 
| * | 
新里 高広、久保 太郎、清水 俊洋、南木 浩二、八木澤 隆 | 
 
 
 | 
 
											 
											 | 
										
										
											
												 
											 | 
										
										
 | 
 症例は55歳男性。25歳時に会社の検診の胸部レントゲン異常を契機にサルコイドーシスと診断されたが特に治療はされず、3年ほど経過観察されていた。 
 51歳時に呼吸困難のため近医を受診したところ既に末期腎不全の状態であった。両腎とも実質のほとんどは多発する嚢胞で置換されており、ADPKDの家族歴もあることからADPKDによる末期腎不全と診断された。腎移植希望で当科紹介となり、妻をドナーとする血液型不適合生体腎移植(PEKT)を行った。術前精査の胸部CTでは両側肺門及び縦隔リンパ節腫大がみられた。 
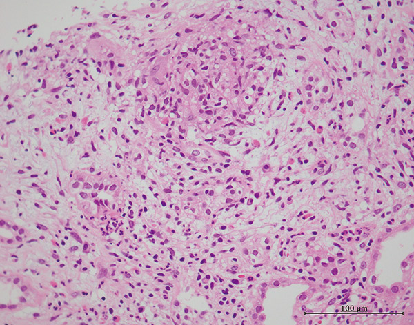
腎移植後eGFR50ml/min/1.73m2前後で安定していたが、2年後から蛋白尿が増加し、その後eGFRは徐々に低下し35 ml/min/1.73m2程度となり、54歳時に経皮的移植腎生検を行った。間質には肉芽腫を伴う炎症細胞浸潤がみられ、糸球体には軽度のメサンギウム細胞増殖がみられ、拒絶反応の所見はなかった。サルコイドーシスの他には肉芽腫性間質性腎炎の原因となるような病態はみられず、サルコイドーシスによる肉芽腫性間質性腎炎と診断した。 
 プレドニゾロン30mg/日で治療を開始し徐々に漸減したところ、蛋白尿の改善はみられたがeGFRは35ml/min/1.73m2前後のまま横ばいで経過した。 
 これまで移植腎に腎サルコイドーシスを生じた症例はいくつか報告されているが、いずれも自己腎の末期腎不全の原疾患が腎サルコイドーシスの症例であった。サルコイドーシス症例に腎移植を行う際には腎不全の原疾患が腎サルコイドーシスでなくとも移植腎に腎サルコイドーシスを生じ得ることに留意する必要がある。また、移植腎に生じたサルコイドーシスに対する治療は確立されておらず今後の課題である。 | 
                                         
						 
                                                
                                                 | 
                                        
										
										
										
											
												 
											 | 
										
										
											 | 
											 | 
											戻 る  ページの先頭 | 
										
										
											  | 
											  | 
											  |