  | 
 
 | 
  | 
COVID-19罹患後に小葉間動脈の高度な線維性内膜肥厚が出現した慢性活動性抗体関連型拒絶の一例 
A case of chronic active antibody-mediated rejection with intimal fibrosis of the interlobular artery after COVID-19 | 
 
 | 
| 
 | 
| 北海道大学病院 病理診断科 | 
 
 | 
 | 
 
| 北海道大学病院 泌尿器科 | 
 
 | 
 | 
 
 | 
市立札幌病院 病理診断科 | 
 
 | 
 | 
 
  | 
 
 | 
 | 
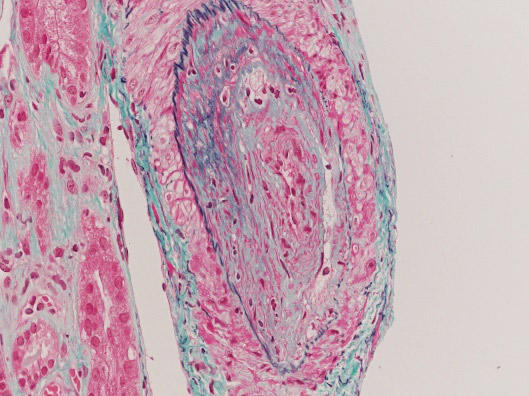
 症例は40歳台女性。妊娠を契機とする腎機能低下に対して30歳台の夫をドナーとするABO適合生体腎移植後の方。移植後3年目にHLA-DQ7に対するde novo DSAを背景とする活動性抗体関連型拒絶を発症し、移植後6年目には慢性活動性抗体関連型拒絶に進展していた。免疫抑制はtacrolimus(Tac)5mg/day、mycophenolate mofetil(MMF)1000mg/day、methylprednisolone 4mg/dayとされていた。MFI 2万台のDSAが持続していたが、血清Crは0.6 〜 0.8mg/dLで経過していた。 
 移植後7年7カ月目にCOVID-19(中等症T相当)を発症し、Tacを5mg/dayから3mg/day、MMFを1000mg/dayから500mg/dayまで減量され、ファビラビルやレムデシベルで加療された。一過性に血中酸素飽和度の低下があったが、ステロイド投与により軽快し、人工呼吸器を要することなく第17病日に退院となった。退院時にはTacを3mg/dayから5mg/dayに、退院後約2週間でMMFを500mg/dayから1000mg/dayに戻された。 
 退院2カ月後、血清Crが1.1mg/dLから1.4mg/dLまで上昇したため、episode生検が施行された。既往と類似した慢性活動性抗体関連型拒絶の所見に加え、滲出性変化や内皮細胞腫大を伴う分節性硬化像や複数の小葉間動脈における高度な線維性内膜肥厚(cv3)が出現しており、高度な内皮細胞傷害が示唆された。昨今、COVID-19による内皮細胞傷害が報告されてきており、本例の内皮細胞傷害においても抗体関連型拒絶に加えてCOVID-19が関与している可能性が鑑別に挙がると考えられた。文献的考察を加えて報告する。 | 
 
 
 | 
 
 | 
 | 
 | 
戻 る  ページの先頭 | 
  | 
  | 
  |