 |
|
 |
移植後1年目プロトコール生検においてsubclinical full-housenephropathyを呈した症例
A case of subclinical full-house nephropathy in kidney allograft in 1 year protocol biopsy |
|
|
|
| 東邦大学医学部 腎臓学講座 |
|
| * |
高上 紀之、小口 英世、濱崎 祐子、橋本 淳也、財津 亜友子、青木 裕次郎、宍戸 清一郎、酒井 謙 |
|
| 東邦大学医学部 病理学講座 |
|
|
| 山口病理組織研究所 |
|
|
|
|
|
【症例】5歳、男児。
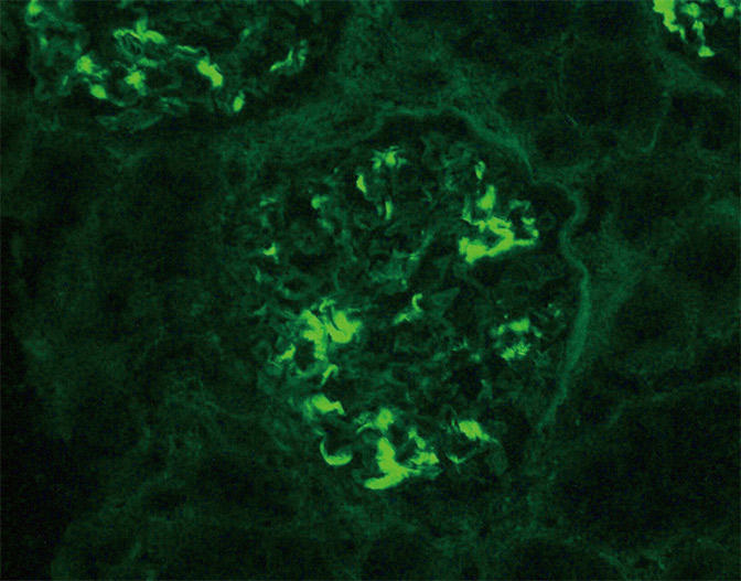
【経過】先天性腎尿路異常を原疾患とする末期腎不全に対してX-1年に腹膜透析を導入した。X年母方祖母をドナーとする血液型適合の生体腎移植を施行した。1時間生検ではIFでメサンジウム領域にIgA(2+)、C3(2+)の沈着がみられた。ドナーの尿検査異常はみられていなかった。移植後3か月プロトコール生検では、IgA(1+)、C3(±)と沈着は減弱していた。移植後1年プロトコール生検では、IgG(1+)、IgA(±)、IgM(1+)、C3(1+)、C1q(1+)とフルハウスパターンの沈着を呈しており、電顕では傍メサンジウム領域と内皮下に高電子密度沈着物がみられた。IgGサブクラスでは、IgG1とIgG3が陽性であった。光顕の所見では、1年目生検において沈着物の所見はみられたが、すべての生検を通じて糸球体の増殖性変化は乏しかった。臨床的には移植腎機能障害はなく、血尿・蛋白尿ともに陰性であった。SLEを疑う臨床・血清学的所見はなかった。
【考察】移植後1年でsubclinicalにフルハウスパターンを呈した症例である。1時間生検では持ち込みのIgA沈着症がみられたが、3か月生検で沈着は減弱しており、de novoのfull-house nephropathy(FHN)を発症したと考えられた。小児発症のFHNではループス腎炎に近い病理像を呈し、ステロイドや免疫抑制剤による治療で約75%が完全もしくは部分寛解を達成する(Ruggiero B, et al. Nephrol Dial Tranplant.2017;32:1194-1204)。移植腎におけるde novo subclinical FHNの症例は今までに報告されていない。生検時点では、臨床的な腎炎の所見はみられていないが、今後の尿所見・腎生検の慎重なフォローアップが望まれる。
|
|
|
|
|
戻 る ページの先頭 |
 |
 |
 |