腎移植後PGNMID再発に対しボルテゾミブを使用した一例
Treatment with bortezomib for recurrent proliferative glomerulonephritis with monoclonal IgG deposits in kidney allograft

東京女子医科大学 泌尿器科
* 大木 里花子、海上 耕平、清水 朋一、八木澤 隆史、神澤 太一、尾本 和也、田邉 一成、高木 敏男
東京女子医科大学 移植管理科
海上 耕平、北島 久視子、石田 英樹
東京女子医科大学 腎臓内科
海上 耕平
戸田中央総合病院 移植外科
清水 朋一

【症例】37歳男性

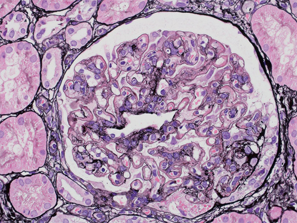
【現病歴】3歳発症のproliferative glomerulonephritis with monoclonal IgG deposits(PGNMID)IgG3κ型による慢性腎不全に対しX年Y月母をドナーとする生体腎移植を施行。術後Cre1.2-1.4mg/dl、尿蛋白1 で推移したが術後4ヶ月よりCre1.6mg/dl、尿蛋白2 と上昇ありエピソード腎生検を施行した。

【経過】21個の糸球体のうち全節性硬化は4個、ほぼすべての糸球体にメサンギウム増殖、メサンギウム融解、係蹄壁の二重化およびメサンギウム陥入を伴い、membranoproliferative glomerulonephritis(MPGN)様の糸球体変化を認めた。また蛍光抗体染色ではメサンギウム領域および係蹄壁にIgG3、κ、C1q、C3の沈着が認められ、PGNMIDIgG3κ型再発と診断された。間質への細胞浸潤や尿細管炎、PTC炎は認めなかった。X年Y+7月にはCre1.71mg/dl、U-TP 1.9g/gCrと悪化があり、ボルテゾミブ(1.3mg/m2、day1, 8, 15, 22に投与、5週間で1クール)による加療を開始した。その後Cre2.64mg/dl、U-TP 8.5g/gCrまでの悪化を認めたが、ボルテゾミブ1クール開始1か月後(X年Y+8月)にCre2.24mg/dl、U-TP 4.88g/gCrと腎機能および尿蛋白の改善を認めている。

【考察】移植後のPGNMID再発に対するボルテゾミブを含めた治療法は報告が限られ、その有効性および長期予後は不明である。ボルテゾミブは脱感作療法や拒絶反応に対して使用報告があり移植患者に比較的安全に使用できる可能性がある。今後、治療効果判定目的の移植腎生検を施行する方針である。

スライド

戻 る  ページの先頭