急性抗体性拒絶の診断で治療が奏効した一例
A case of successful treatment with diagnosis of acute antibody-mediated rejection after cadaveric renal transplantation

同愛会・博愛病院 腎臓外科
* 杉谷 篤

 当科では腎移植あるいは膵腎同時移植のレシピエント85名と生体腎ドナー29名が外来通院している。今回、臨床所見、血中抗体検査、腎生検病理診断で急性抗体性拒絶と診断し、治療が奏効した一例を経験したので報告する。
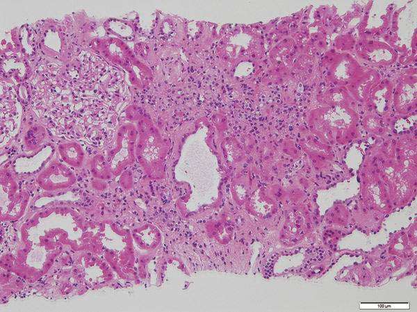
 症例は50歳代男性。2016年6月、脳死ドナーからの血液型適合献腎移植を受けた。移植後に拒絶反応があったが、 治療後は良好に経過していた。2023年4月の外来定期検査で血清クレアチニンが上昇し、急性拒絶を疑い移植腎生検を実施した。病理所見では、尿細管上皮はよく保たれており一部に萎縮とリンパ球浸潤(t1)、間質の線維化は軽度(i1)、糸球体血管腔は拡張してリンパ球、好中球浸潤なし(g0)、小・細動脈壁に硝子変性、細胞浸潤なし(v0)、ptc0、C4d on PTCは陽性であった。また、抗HLA抗体スクリーニング検査でClassII抗体陽性のため急性抗体性拒絶と診断した。
 治療は1.ステロイドパルス500mgx3回、2.血漿交換3回、3.血漿交換終了後、リツキサン200mg投与で行い、4.維持免疫抑制療法(グラセプター1mgx1、セルセプト500mgx2、サーティカン0.5mgx2、メドロール4mgx1)はそのまま継続した。
 血清クレアチニンは1.38mg/dlから1.17mg/dlに低下し、治療後の抗HLA抗体スクリーニング検査は陰性化していた。その後、良好な移植腎機能で社会復帰している。

スライド

戻 る  ページの先頭